全区首例!3D 打印个体化定制假体全髋关节翻修术,24小时见证康复奇迹!
2025-05-16 09:08院办



全区首例
成都市龙泉驿区中医医院

当传统骨科手术遭遇瓶颈
3D 打印技术如何破局?
近日
我院完成全区首例
3D 打印个体化定制假体
全髋关节翻修手术
让患者从卧床不起到行动自如
仅仅花了 24 小时!
快随我们一同见证
这场科技与医术的完美融合!

01
病例分享
74岁曾爷爷的"新生"之路

辗转求医,终遇希望
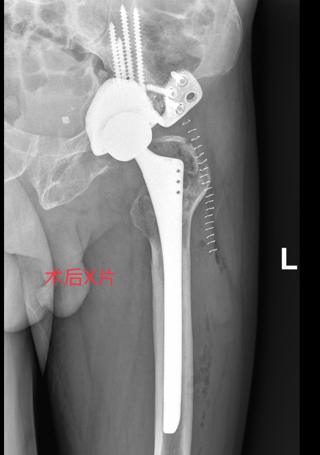
曾爷爷是一名74岁的老年男性患者,15年前因“左侧股骨头缺血性坏死”于我院骨伤科行“左侧人工全髋关节置换术”,术后康复出院。
3个月前因摔伤,导致人工髋关节假体松动、髋臼骨折、大面积骨溶解,长期卧床、生活不能自理,辗转多家医院未能得到有效治疗,不得不从外地专程赶往我院骨伤中心(关节-运动医学科)住院治疗。

精密诊断,个性化定制
入院后完善DR及CT检查后,诊断为:
1.左侧人工全髋关节置换术后假体松动
2.左侧髋臼骨缺损(PaproskyIIIB型)
3.骨质疏松
4.左髋部骨囊肿、局限积液

关节-运动医学科徐驰主任带领团队为患者精心设计手术治疗方案
根据患者病情,考虑常规人工髋关节假体无法实现有效初始稳定性,而 3D 打印定制假体,能“量体裁衣” 般精准设计,突破常规手术局限,为曾爷爷量身打造独一无二的治疗方案,故选择3D打印个体化定制假体进行全髋关节翻修术。





定制设计

02
多科协同攻坚
解锁区域首例
3D打印关节翻修“黑科技”


我院骨伤中心与手术麻醉中心强强联合,组建 “硬核战队”,共同挑战这一全区首例的高难度手术。
此次手术的成功开展,不仅为患者重塑稳固关节,更以突破性技术填补区域医疗空白,为骨科手术进阶之路点亮新坐标。
03
从卧床到康复仅24小时!
实现科技与医术的完美融合
曾爷爷的康复速度令人惊叹!
从卧床不起到行动自如
仅仅花了24 小时!


麻醉苏醒后,曾爷爷的髋关节已能无痛自由屈伸;术后24小时内,借助助行器就能行走,生活起居已能完全自理!
家属送上锦旗,并不断感慨:“亲眼见证了科技与医术的完美融合!”

这份跨越病痛的蜕变
不仅是 3D 打印技术与
高超医术相结合的生动写实
更是龙泉区域医疗
技术革新的有力佐证
让 “科技赋能健康” 的
愿景照进现实
04
3D打印技术硬核拆解
3D打印技术优势:
精准重建解剖结构
微孔仿生骨长入设计
个性化力学承重
材料黑科技:
钛合金+羟基磷灰石涂层
抗压强度达1200MPa
生物相容性超国际标准
05
髋关节置换术后翻修科普
什么是髋关节翻修术?

髋关节置换术后翻修术,是指因初次置换的假体出现松动、感染、磨损、假体周围骨折等问题,需通过手术将原有假体取出并更换新假体的治疗过程。
数据显示,约5%-10%的患者可能在术后10-15年内需要翻修。
常见翻修原因

1. 假体松动
假体与骨骼间因骨溶解或固定不佳逐渐分离,导致疼痛和活动受限。
2. 感染
细菌侵入引发关节感染,需紧急处理以避免严重并发症。
3. 假体磨损或断裂
假体组件(如聚乙烯垫片)长期磨损产生碎屑,或金属部件断裂。
4. 假体周围骨折
外伤或骨质疏松导致骨骼强度下降,假体周围发生骨折。
翻修手术的技术革新

1. 精准诊断与分型
通过X片、CT等评估骨缺损程度(如Paprosky分型),指导个性化方案设计。
2. 3D打印与定制化假体
根据患者骨骼形态打印假体,解决复杂骨缺损(如Paprosky IIIB型),实现“严丝合缝”的固定。
3. 生物材料升级
使用钛合金+羟基磷灰石涂层假体,促进骨长入,降低松动风险;抗菌涂层技术减少感染概率。
4. 微创与导航技术
3D打印导板辅助精准植入,缩短手术时间,减少出血和神经损伤风险。
术后康复关键点

1. 分阶段锻炼
术后当天:踝泵、屈伸活动、直腿抬高训练;
术后24小时内:内借助助行器下地,预防血栓和肌肉萎缩。
术后6周:逐步负重行走,强化髋关节周围肌力。
2. 定期随访
术后1个月、3个月、1年复查X片,监测假体稳定性及骨愈合情况。
警惕这些危险信号

专家提醒
若术后出现以下症状,需立即就医:
持续性髋部疼痛或突然加重
关节红肿热痛、疑似感染
假体脱位(无法正常活动髋关节)
伤口渗液、流脓
06
专家介绍

•徐驰
•关节-运动医学科主任、骨伤中心副主任
• 硕士研究生
•副主任医师
毕业于四川大学华西临床医学院。
现任四川省中西医结合学会微创骨科专委会委员、四川省国际医学交流促进会骨与软组织肿瘤专委会委员、四川省中医药信息学会痹症专委会委员、四川省老年医学会运动医疗专委会委员、四川省老年医学会健康管理专委会委员、成都市龙泉驿区骨科质控中心专家、成都市龙泉驿区运动医学质控中心专家。
获得四川省脱贫攻坚工作先进个人、成都市对口支援工作先进个人、成都市龙泉驿区卫健局第三届、第四届“最美医者”等荣誉称号。
发表SCI 1篇、北大中文等核心期刊10余篇、获得国家发明专利2项、实用新型专利1项,承担四川省中医药管理局科研课题1项,成都医学院合作省级课题1项。
擅 长:股骨头缺血性坏死、髋关节发育不良、重度髋、膝关节炎、骨与软组织肿瘤、半月板损伤等膝关节疾病;擅长髋、膝关节置换及翻修术、四肢骨折内固定术、关节镜手术。

骨伤中心介绍
四川省省级重点中医专科,技术力量雄厚、技术精湛,现有高、中、初级职称医护人员91名,其中医生34人,护士57人,硕士研究生18人。

现有床位204张,分别为创伤科102张、脊柱科51张、关节-运动医学科51张。开展了人工全髋、半髋、全膝关节置换术、单髁置换术、髋膝关节翻修术、肩膝踝关节镜相关手术、四肢骨折内固定术、四肢矫形术、骨盆髋臼骨折、骨折延迟愈合/不愈合、大面积创面修复、手足部畸形矫正、手足功能重建、糖尿病足、手足部损伤、周围神经血管损伤、脊柱前后路减压植骨内固定术、脊柱微创手术(PKP、PVP、椎间孔镜)、骨与软组织肿瘤等手术治疗。
同时,骨伤中心具有明显中医特色优势,开展了中医正骨疗法,手法复位小夹板外固定、理疗、中药外敷、自制药酒溻渍等传统治疗,长期坚持运用中西医结合治疗各种骨伤科疾病,疗效显著,在区域内处于领先地位。
END

推荐阅读
1
热
2
关节镜下微创行膝关节胫骨髁间嵴骨折内固定术,为患者重建新“膝”望!
新

