【医心“卫”您】花季少女高处坠落致骨盆严重骨折,微创手术助力快速康复!
2024-05-31 11:04院办



骨盆严重骨折
微创手术助力快速恢复
成都市龙泉驿区中医医院


近日的早晨6时许
邻居发现菲菲(化名)躺于地面
表情痛苦,全身多处流血
自诉从高处跌落
邻居见状,立即拨打120
病例诊断

经过完善CT后,初步诊断为:
1. 高处坠落伤;
2. L1腰椎爆裂性骨折、L2-3腰椎压缩性骨折;
3. 左侧髂骨、双侧骶骨关节面下、骶5椎体、左侧髋臼、左侧耻骨上、下支骨折;
4. 左侧腓骨小头撕脱;
5. 左胫平台骨折、左内踝、胫骨前唇、距骨骨折、外踝骺离骨折;
6. 继发性腰椎椎管狭窄;
7. 肝功能不全;
8. 右侧气胸(压缩约5%);
9. 右肾挫伤?
10. 腹腔积液;
11. 盆腔积液。
多达20余处的骨折、脏器损伤,情况万分紧急,完全是从死神手中抢人,一点也耽误不得。
幸运的是,经急诊科、重症医学科、骨科等多学科前期紧急联合救治,菲菲的生命体征趋于平稳,终于具备了骨科手术条件,然而严重不稳定骨盆骨折的手术难度较大。

▲术前CT示骨盆骨折完整性被破坏
骨科主任张成勇、副主任许锦涛带领团队细心研判,考虑到患者全身多发骨折,其中骨盆(Tile B2.1型)、腰椎及左踝关节需手术治疗,征得患者家属知情同意后,先行骨盆骨折手术治疗。
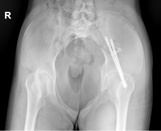
由于在传统手术方式中,为确保骨折固定置入螺钉位置的准确性,往往需要作大切口,术中医生还需要反复透视定位查看置钉位置,不仅创伤大、时间长,X线辐射暴露次数也很多。因此,团队为菲菲制定了微创手术方案,术中团队精准定位、精细操作,手术切口仅2厘米,出血不到10ml,一期为菲菲完成了左侧骨盆骨折内固定手术,术后恢复顺利。

▲术后X片

▲微创切口仅2㎝

▲传统切口大、出血多
骨盆骨折在全世界创伤领域中
被称为创伤外科王冠上的明珠
其治疗水平体现了
医院创伤水平的高低
此例骨盆微创手术的顺利实施
标志着我医院骨伤科在
骨盆骨折的精准、微创治疗上
更进一步
我院将精益求精,勇于创新
继续发扬拼搏进取的精神
竭诚为更多的患者提供优质医疗!
专家介绍

骨伤科主任 主任中医师
现任四川省中西医结合骨科专委会 常务委员;成都市中医骨伤专业医疗质控中心专家组成员;四川省医学会骨病骨肿瘤专委会 委员;四川省医学会中西医结合骨科专委会委员;四川省中医学会中医运动专委会 委员;四川省中医学会中医骨伤专委会委员;四川省医学会老年骨科专委会委员;龙泉驿区中医骨科质控中心执行主任;龙泉驿区中西医结合骨科专委会副主任委员;龙泉驿区骨科、运动专委会专家组成员。
毕业于成都中医药大学,从事骨科临床工作近30年,曾经在四川省人民医院骨科、华西医院附一院骨科、核工业416医院、四川省第二中医医院骨科等进修学习,曾今先后在国家级杂志发表论文多篇。
擅长:尤其擅长于在骨科脊柱(腰腿疼痛专科)、关节、创伤(骨盆、四肢创伤)及骨肿瘤方面的诊断、治疗。
骨伤科一科主任 副主任医师
毕业于四川大学临床医学专业,本科学历,医学学士学位。从事骨科专业15年余,曾在成都军区机关医院创伤显微外科中心工作6年,并在北京大学人民医院、成都体育学院附属医院、重庆新桥医院访问学习。目前主要从事四肢创伤的诊疗工作。
擅长:四肢骨折及手外伤的救治,皮瓣转移修复各类创面、神经血管肌腱修复、功能重建;踇外翻、膝关节截骨矫形手术治疗;肩关节的肩峰撞击、钙化性肌腱炎、肩周炎、肩袖撕裂等疾病的诊断与治疗等方面拥有丰富的临床经验。
马 轩
骨伤科一科 主治医师
硕士研究生,毕业于成都中医药大学,曾于中国人民解放军总医院、西安红会医院、成都中医药大学附属医院等多家医院学习。
擅长:四肢及骨盆骨折的开放及微创治疗。
骨伤科
四川省省级重点中医专科,技术力量雄厚、技术精湛,现有高、中、初级职称医护人员81名,其中医生31人,护理50人,硕士研究生18人。

同时,骨伤科具有明显中医特色优势,开展了中医正骨疗法,手法复位小夹板外固定、理疗、中药外敷、自制药酒溻渍等传统治疗,长期坚持运用中西医结合治疗各种骨伤科疾病,疗效显著,在区域内处于领先地位。
-END-
供稿:文 猛
编辑:刘罗娜
校对:张成勇
审核:业务分管领导
图片来源于网络,如有侵权,请联系删除。




