【医心“卫”您】肩关节“筋”断了怎么办?关节镜微创行肩袖损伤修补术
2024-01-05 10:27院办



关节镜微创
行肩袖损伤修补术
病例分享
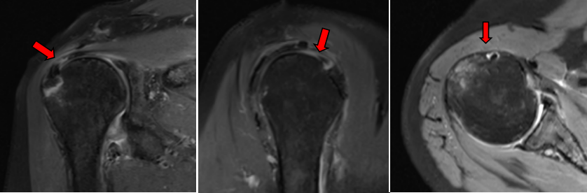
王某某,女,61岁,3个月前因摔伤致右肩部肿痛伴功能受限,于当地医院住院1周后因右肩部疼痛加重伴活动受限来我院就诊。行右肩MRI检查示:右肱骨大结节骨折,伴冈上肌腱部分撕裂、肩胛下肌腱损伤、肱二头长头肌腱炎、关节囊粘连。


手术过程
1. 采用沙滩椅位。



3. 术中探查。



4. 关节镜下关节囊松解、肩峰成形、单排铆钉改良Mason-Allen缝合。






▲刘志强医生指导功能锻炼
健康科普
什么是肩袖损伤?
肩袖是维持肩关节力量和功能的重要结构,由肩胛下肌腱、冈上肌腱、冈下肌腱、小圆肌腱四根肌腱组成,像袖套样包裹上臂顶部肱骨头。

肩袖撕裂常见于中老年人群,在肌腱退行性变的基础上,很容易发生损伤。病人常表现为肩部疼痛,严重时夜间痛醒,肩部上抬无力等。常常被误诊为肩周炎(冻结肩)。核磁共振检查可以发现肩袖的破裂口。

病 因
创伤
01
血供不足
02
肩部慢性撞击损伤
03
关节镜治疗肩袖损伤的优势
创伤小、效果好、恢复快。
据我院骨伤三科徐驰主任介绍,科室运动医学组目前可开展肩关节镜下肩袖损伤修补术(肩袖损伤)、肩峰成行术(肩峰撞击综合征)、肩关节囊松解术(肩周炎后期粘连)、肱二头肌腱长头切断松解术(肱二头长头肌腱炎,SLAP损伤)等。
膝关节镜可开展前、后叉韧带重建术、半月板损伤修补缝合成行术、镜下痛风石切除术、关节软骨损伤微骨折术、各种滑膜炎切除术、髌下脂肪垫炎、脂肪垫肿瘤切除术、半月板囊肿切除术、膝关节游离体取出术等。
在面对疾病的挑战时,我院努力使用创伤小、效果好、恢复快的关节镜微创手术,竭诚为广大群众的健康保驾护航!

徐 驰
硕士研究生/副主任医师
成都市龙泉驿区中医医院骨三科(关节、运动医学)主任。毕业于四川大学华西临床医学院,现任四川省老年医学会健康管理专委会委员、四川省中医药信息学会痹症专委会委员、四川省老年医学会运动医疗专委会委员、四川省国际医学交流促进会骨与软组织肿瘤专委会委员、成都市龙泉驿区骨科质控中心专家、成都市龙泉驿区运动医学质控中心专家。
获四川省脱贫攻坚工作先进个人、成都市对口支援工作先进个人、成都市龙泉驿区卫健局第三届、第四届“最美医者”等荣誉称号,在《中国矫形外科杂志》等北大中文核心期刊发表论文10余篇、获得国家发明专利1项、实用新型专利1项,承担四川省中医药管理局科研课题1项。
擅长领域:股骨头缺血性坏死、髋关节发育不良、重度髋、膝关节炎、骨与软组织肿瘤、半月板损伤等膝关节疾病;髋、膝关节置换及翻修术、四肢骨折内固定术、关节镜手术。

硕士研究生/副主任医师
毕业于哈尔滨医科大学,现任龙泉驿区运动医学专业质量控制中心专家组成员。曾在哈尔滨医科大学附属第一医院骨科、四川省人民医院、 北京大学附属第三医院运动损伤科(关节镜治疗)进修学习,在国家级期刊发表论文数篇。
擅长领域:四肢骨折、骨关节炎的中西医结合治疗及肩、膝关节病关节镜治疗技术。

冯 超
硕士研究生/主治医师
毕业于成都中医药大学中医骨伤专业。现任四川省中医药学会运动医学会、疼痛医学会委员。先后于四川省中医院、四川省骨科医院、西安红会医院进修学习。
擅长领域:关节镜治疗半月板、前后叉韧带损伤、肩袖损伤、关节炎等疾病。
骨伤科
四川省重点中医专科,技术力量雄厚、技术精湛,现有高、中、初级职称医护人员81名,其中医生31人,护理50人,硕士研究生18人。

目前开放床位150张,分别为骨一科(创伤)50张,骨二科(脊柱)50张,骨三科(关节、运动医学)50张。开展人工全髋、半髋、全膝关节置换术、单髁置换术、髋膝关节翻修术、肩、膝关节镜、脊柱前后路减压植骨内固定术、脊柱微创手术(PKP、PVP、椎间孔镜)、四肢骨折内固定术、四肢矫形术、皮瓣转移、断肢再植、骨与软组织肿瘤等手术治疗。
同时,骨伤科具有明显中医特色优势,开展了中医正骨疗法,手法复位小夹板外固定、理疗、中药外敷、自制药酒溻渍等传统治疗,长期坚持运用中西医结合治疗各种骨伤科疾病,疗效显著,在区域内处于领先地位。
供稿:冯 超、文 猛
校对:刘罗娜
审核:徐 驰、邓 伟



