【学科技术】右心声学造影ASCE——小“泡泡”,大用途
2024-05-06 10:57院办

“超”/人/来/了/科/普/系/列
超声新技术
右心声学造影ASCE
01
病例分享
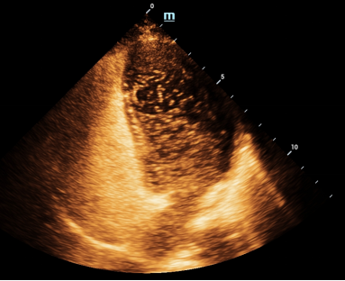
患者,王女士,40岁,因长期头晕、头痛发作,影响睡眠与生活质量,到我院神经内科住院治疗,心脏常规超声检查无特殊发现,但是为了进一步明确病因,神经内科医生为患者申请了我院新技术检查项目——右心声学造影,检查显示多个小“泡泡”从右心房依次进入了左心房、左心室,右向左分流达3级,提示右心声学造影阳性,患者可能存在卵圆孔未闭!
▲右心造影视频
病因终于找到啦,原来这些“小泡泡”在诊断中起到了大用途!
02
什么是卵圆孔未闭?
卵圆孔是胚胎时期左、右心房间隔的一个生理性通道。一般1岁以内会闭合,3岁以后不闭合则称为卵圆孔未闭。

03
什么是右心声学造影?
右心声学造影(ASCE)是在超声心动图成像时,经外周静脉注入声学造影剂,使右心系统增强显影的技术。

由于造影剂气泡直径为16~38µm,而肺毛细血管的平均直径约7~8µm,正常情况下这些微气泡不能通过肺循环,无法进入左心系统。
如果左右心系统存在异常通道(如卵圆孔未闭、房间隔缺损、肺动静脉瘘等),注入造影剂后左心腔会出现不同程度的微泡显影,其中卵圆孔未闭引起的右向左分流最为常见。
04
右心声学造影安全吗?
整个检查过程短暂,操作简便、可重复性高。患者如同静脉输液一样,只需要在静脉中注入含有微小气泡的激活生理盐水,医生再用心脏彩超进行检查,是一项无创、无电离辐射,安全、简便、有效的新型造影技术。

05
右心声学造影适应症




约有20%~25%的成年人
卵圆孔不完全闭合
近年来
越来越多的研究表明
卵圆孔未闭与不明原因脑卒中
一过性脑缺血发作、偏头痛
减压病等密切相关
但是经胸心脏超声
对卵圆孔未闭检出率低
随着超声医学科右心声学造影技术的开展
将有效解决这一难题
让医生快速找到病因
为下一步的精准治疗提供重要依据
专业团队
为您服务

超声医学科是我院重要的医技科室,科室设备先进、人员技术力量雄厚,经多年发展建设,已成为具有先进医疗设备及多学科诊断和超声介入治疗为一体的现代化科室。
科室开展业务:
常规腹部超声、妇产科超声、浅表器官超声、心血管超声、经颅多普勒检测、常规心电图检查、24小时动态心电图检查。
超声领域新技术:
右心声学造影;甲状腺、乳腺、肝、肾、胰腺、前列腺等器官内病变行超声引导下穿刺活检;关节、周围神经、肌腱、滑膜、软组织等病变介入治疗的超声引导;肝内胆管、肾盂、脏器脓肿、囊肿、积液等超声引导下置管、超声弹性成像技术、直肠肛管超声、胃十二指肠充盈超声检查等特色项目。
咨询电话:
028-60659306(8:00-16:30)
028-60659309(16:30以后)
咨询地址:龙泉驿区中医医院(青台山院区)门诊三楼B1区超声医学科
供稿:付学蓉
编辑:刘罗娜
校对:贾学明
审核:业务分管领导

-END-



