患者是一名74岁的女性,因持续的上腹部疼痛前来就诊。经我院专家团队详细检查后,诊断为:
脾脏肿瘤合并胆囊结石
这类情况在临床上较为罕见,具有一定的复杂性和挑战性。
在西南医科大学李波教授指导下,我院普通外科团队联合多学科专家,对患者病情进行了充分的讨论与评估,最终决定采用“腹腔镜脾部分切除术(术中冰冻)+胆囊切除术”这一微创治疗方式。

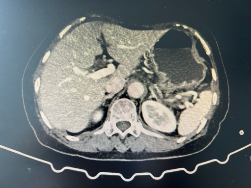
术前影像
此次手术由我院普外科主任龚德胜主任医师主刀,石军副主任医师协助下实施。
手术中,医生们利用4K腹腔镜技术,通过几个微小切口完成了脾脏部分切除及胆囊的完整切除。该技术相比传统开放手术,具有创伤小、恢复快、术后并发症少等诸多优势。
经过麻醉科、手术室团队的默契配合,历时3小时手术顺利完成,患者的脾脏肿瘤成功切除,胆囊结石问题也一并解决。
术后影像
术后,患者恢复良好,生命体征稳定,术后第二天便能下床活动,恢复进食,目前已顺利出院。