秒懂MRI系列——盆腔MR
2022-04-12 16:29院办
近日,我院放射科新开展了一例盆腔MRI扫描——前列腺MR扫描,下面我们来看看这个例子吧。

患者男72岁 反复肛门部坠胀、便不尽感3+月。

4月6-7日 前列腺MRI
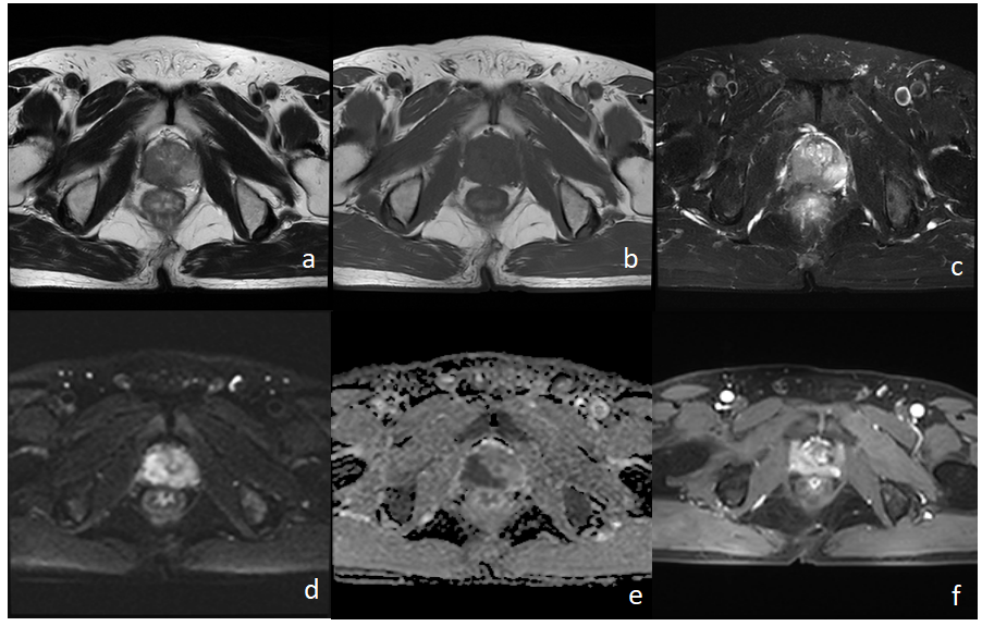
a-c:前列腺右侧份(以外周带为主)T1WI斑片状等低信号影,T2WI低信号影
d-e:病灶DWI上呈高信号,ADC上呈低信号(弥散受限)
f:增强扫描病灶明显强化
思路:
1. 患者肿瘤标志物(PSA↑)异常,提示前列腺有问题,建议做MRI。
2. 常规MRI示前列腺右侧份斑片灶,DWI示病灶弥散受限,增强扫描病灶明显强化,提示前列腺Ca可能(需与慢性前列腺炎鉴别).
MRI真厉害!那什么时候建议做盆腔MRI呢?我们下面就讲讲它的适应症、临床应用价值和注意要点吧!!!
适应症:
1. 膀胱、前列腺、精囊腺、子宫、卵巢及其附件的病变。
2. 骨盆及盆腔脏器损伤。
临床应用价值:
1. MRI多序列、多方向成像,有利于盆腔病变的定位、定量、定性诊断,特别适用于生育期妇女。
2. 可准确观察盆腔脏器的病变情况、判断肿瘤的侵犯范围、与周围组织结构的关系。
3. 了解原发性肿瘤的TNM分期,为治疗方案的制定提供客观依据。
4. 随访观察疾病的动态变化、疗效及复发情况。
对手术后并发症(如新鲜血肿与陈旧性血肿的鉴别、脓肿的鉴别等)的诊断,MRI优于其他检查
注意要点:
1. 螺旋CT的空间分辨率优于MRI,某些盆腔疾病可酌情选择螺旋CT扫描。
2. 检查前,嘱病人适量饮水以充盈膀胱,增加膀胱与邻近组织结构的自然对比;MR检查时间较长,不宜使膀胱过度充盈,过度充盈可导致病人不适、躁动、影像图像质量。
3. 有金属避孕环者需取环后行盆腔MR检查。
拟稿:吴萍
审核:廖方勇
