【医联体在行动】多学科全助力,共筑光明之完美
2022-01-06 14:17院办

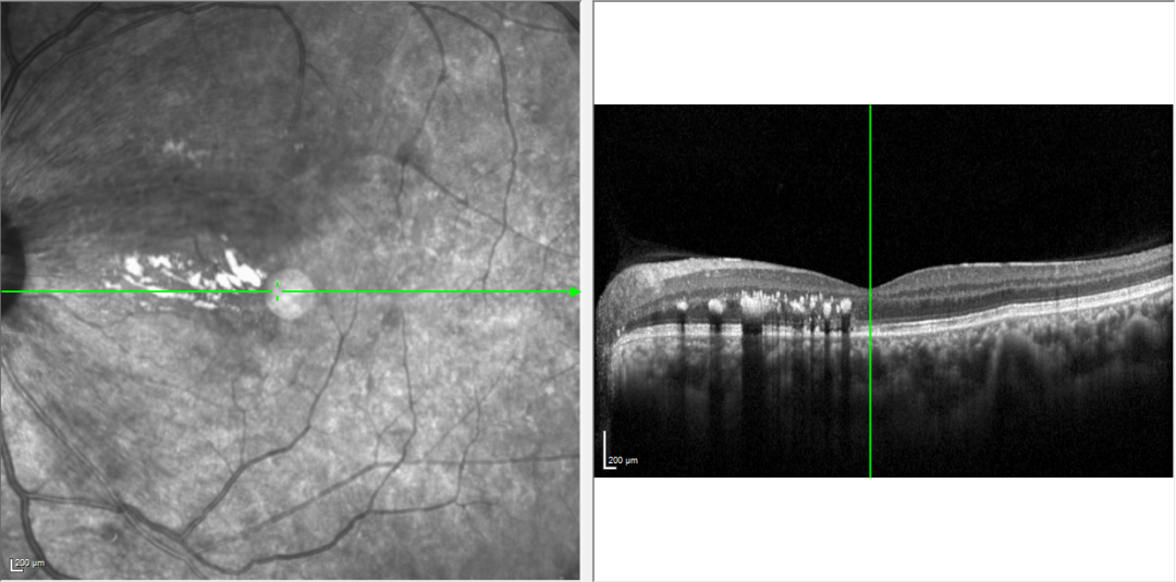
眼底彩照提示:双眼视网膜后极部大量黄色渗出,视网膜散在片状出血
主诊医师当即怀疑患者有高血压或糖尿病等慢性疾病,但患者否认患有慢性疾病,且当时测得血压128/74mmHg,但由于眼底情况糟糕,故建议患者入院行全面检查。


OCT提示:双眼黄斑区视网膜可见团块状高反射,右眼黄斑区视网膜神经上皮层浅脱离,层间积液
入院当日清晨,患者测得血压124/74mmHg,而当日下午17:00血压就飙升至210/110mmHg,我院内科会诊后予以降压药,但降压效果不明显,夜间收缩压更是高达220mmHg。
由于患者口服药物降压效果不理想,根据会诊意见行进一步检查时发现患者肾上腺局部呈结节样改变。故我院立即联系医联体上级单位——成都中医药大学附属医院(下文以“中医附院”简称)心内科、泌尿外科,经多学科讨论研究并与患者沟通,决定立即转至中医附院心内科治疗原发疾病。经过一周的住院治疗,心内科联合眼科、泌尿外科予以患者全套个性化治疗方案,患者的血压得到了有效的控制,眼底出血情况得到了改善。
一个月后,患者再次来到我院眼科复诊。目前患者不仅血压控制良好,眼底出血也基本吸收,视力明显提高,雾视感基本消失。


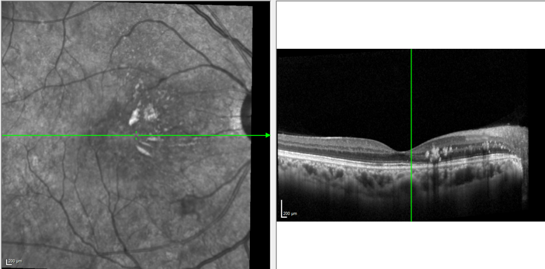
提示:眼底出血基本吸收,视网膜下积液基本吸收,病情明显好转
正值中医附院眼底病专家谢学军教授亲临我院眼科指导眼底荧光造影操作及阅片。在谢老师的精心指导下,我院对该患者进行了眼底血管荧光造影。造影后,谢老师不仅对造影结果进行阅片指导及提出进一步诊治要点,还在眼科开展了眼底血管性疾病专题学习讲座,通过病案与基础知识结合,进一步提升了我院眼科眼底病的诊疗水平。

谢学军教授指导眼底疾病阅片及视网膜血管造影

谢学军教授于眼科开展科室专题讲座

新
年
伊
始
/ 2022.1.3
2022年1月3日,患者再次至我院眼科复诊,并送来了今冬初绽芬芳的腊梅表示感谢。这例病例的成功诊治既体现了我院医联体上下同心协力,共解病患之疾的决心,更展现了基层首诊、双向转诊、急慢分治、上下联动分级诊疗格局的强大优势,为推动健康龙泉驿建设提供了强有力的保障。
拟稿:兰轶
编辑:刘罗娜
审核:杨 凤、段红玲

