【学科技术】运动医学-踝关节镜下微创小切口解决“大”问题
2024-06-29 09:39院办



踝关节镜下微创
小切口解决大问题


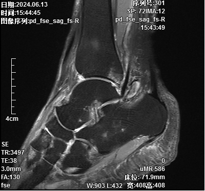
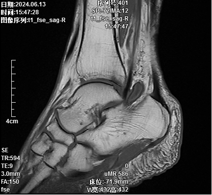
病例分享



术前标记体位

术中精细操作,切除病灶

术后切口仅8毫米
微创手术术后,患者即能进行屈伸活动、肌肉力量等方面的功能锻炼。


医生查房指导患者功能锻炼
徐驰主任提到
关节镜手术主要适用于
膝关节半月板缝合、游离体或异物取出
软骨移植、微骨折治疗等
我院骨三科(关节、运动医学)
已常规独立开展关节镜相关手术
技术成熟
能为更多的骨关节、运动损伤患者
提供更加优质、安全的诊疗服务

健康科普

01 什么是踝关节镜手术?
02踝关节镜的应用
03踝关节镜的优点
徐驰主任讲解道:
运动医学以“精准微创、功能至上、早期康复、重返运动”为宗旨,以强调功能康复为特点,以关节镜技术为主要手段,专注于各种关节疾病、运动损伤及其他运动系统相关疾病的诊断、治疗和康复,根据病情不同程度,采取不同的治疗措施,重视关节稳定性重建的意义和对关节软骨重要性的保护。
科普专家介绍
徐 驰


硕士研究生,副主任医师
冯 超

硕士研究生,主治医师
毕业于成都中医药大学中医骨伤专业,曾于西安红会医院进修肩、肘、膝、踝关节镜。
擅 长:半月板损伤、前后叉韧带损伤、肩袖损伤、关节炎等疾病的诊治。
专业团队

为您服务

骨伤科

我院骨伤科为四川省省级重点中医专科,技术力量雄厚、技术精湛,现有高、中、初级职称医护人员81名,其中医生31人,护理50人,硕士研究生18人。现有床位200张,目前开放床位150张,分别为骨一科(创伤)50张,骨二科(脊柱)50张,骨三科(关节、运动医学)50张。
开展了人工全髋、半髋、全膝关节置换、单髁置换、髋膝关节翻修、脊柱前后路减压植骨内固定、脊柱微创(PKP、PVP、椎间孔镜)、肩关节镜下肩袖修补、膝关节镜下韧带重建、踝关节镜下滑膜病变切除、踝关节镜下距骨骨软骨损伤治疗、四肢骨折内固定、四肢矫形、皮瓣转移、断肢再植、骨与软组织肿瘤等手术治疗。
同时,骨伤科具有明显中医特色优势,开展了中医正骨疗法,手法复位小夹板外固定、理疗、中药外敷、自制药酒溻渍、拔罐等传统治疗,长期坚持运用中西医结合治疗各种骨伤科疾病,疗效显著,在区域内处于领先地位。



